Un’ esperienza di cura unica:
Scopri la “Patient Centered Care Experience”
Alla Scoperta di un’Odontoiatria Differente: Sei Tu al Centro.
Allo Studio Dentistico Gellini riconosciamo che ogni sorriso è unico e merita attenzione personalizzata. Ascoltiamo la tua storia, comprendiamo le tue necessità e ci impegniamo per assicurarti un’esperienza di cure dentali davvero distensiva.
Approccio Integrato alla Salute Dentale nel Cuore di Roma: a San Giovanni
Abbiamo una “visione espansa” dell’odontoiatria. Lavoriamo in sinergia con specialisti di varie discipline, perché ogni aspetto della tua salute orale e del tuo benessere è importante per noi.
Le Nostre Eccellenze Odontoiatriche
Perché ogni dettaglio conta nella cura del tuo sorriso.
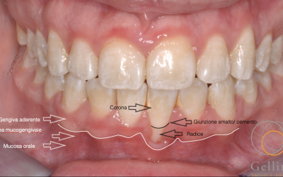
Parodontologia:
La malattia parodontale distrugge le gengive. ma quando ci si accorge del danno, il sostegno per alcuni denti potrebbe essere già insufficiente. Grazie a interventi microchirurgici possiamo riposizionarle o ricostruirle, ridando stabilità ai denti.
Additional Veneers:
I denti senza imperfezioni non esistono. Ma grazie alle faccette dentali, delle protesi sottilissime che si applicano sulla superficie dentale, possiamo modificare colore e forma della dentatura, pianificando il risultato secondo le tue esigenze.
Allineatori trasparenti:
Efficienti, impercettibili, leggeri, facili da rimuovere. Con gli allineatori trasparenti puoi dimenticarti di ogni insicurezza. Allinei i tuoi denti in totale disinvoltura, senza fare rinunce e vivendo serenamente la terapia.
Odontoiatria Estetica:
Sbiancamento dei denti, realizzazione di protesi, faccette dentali. La bellezza del sorriso richiede la massima precisione, supportati dal microscopio operatorio garantiamo interventi mirati, risultati ottimali e massimo comfort.
Esperienza Odontoiatrica del Relax: Il Nostro Impegno per Te
Costruire un rapporto di fiducia:
medico-paziente duraturo
Selezionare e attuare le terapie migliori:
per la salute e la bellezza del tuo sorriso.
Rilassarti e godere dell’unicità del nostro studio dentistico:
in cui puoi sorseggiare una tisana, ascoltare e musica soft. Proprio come in una SPA!
Scopri i 12 motivi del successo con i nostri pazienti
Conosci i Professionisti Che Fanno la Differenza
Siamo orgogliosi del nostro team, e tu sarai altrettanto entusiasta di conoscerli.
Incontra il Team: Vieni a scoprire chi sono i professionisti che si prenderanno cura di te. Conoscerai non solo le loro competenze ma anche la passione che li anima nel loro lavoro quotidiano.

Simone Gellini
Specialista in implantologia e gnatologia

Daniele Gellini
Specialista in conservativa e protesi

Giuseppe Padricelli
Specialista in Ortodonzia

Maria Dezio
Specialista in ortodonzia

Anna Dautova
Specialista in Odontoiatria

Cristian Mantovani
Igienista dentale

Ambra Bruni
Igienista dentale

Anna Felli
Igienista dentale

Joanna Oldakowska
Assistente alla poltrona

Marta Ciannarella
Segreteria

Nadia Hamdi
Manager
Odontoiatria Digitale a Roma
Con la precisione del Digital Smile Design (DSD), progettiamo il tuo nuovo sorriso prima ancora di iniziare il trattamento, mostrandoti l’anteprima del risultato che possiamo ottenere insieme.
Non solo Odontoiatria ma Benessere Olistico Per te!
Sorridere è un atto di benessere e leggerezza. Anche dello spirito. Iniziamo dalle cure dentali, ma prevediamo anche posturologia e fisioterapia dell’articolazione temporomandibolare,medicina estetica e logopedia. Ognuna di esse si prende cura di una necessità per aiutarti raggiungere un benessere sia fisico che psichico.
Ultimi Articoli
Se i denti anteriori sono troppo corti non è solo un problema estetico
Quando si pensa agli incisivi, la prima immagine che viene in mente è legata all’estetica del sorriso: denti armoniosi, proporzionati e luminosi.Ma...
Bocca Secca e Denti: Guida Completa dello Studio Gellini (Roma)
Hai mai avuto la sensazione di avere la bocca secca e non capirne il motivo? Questa condizione, nota in gergo medico come xerostomia o...
Deglutizione atipica, frenulo linguale corto e postura: una connessione spesso sottovalutata
Molti pazienti che soffrono di dolori cervicali, tensioni mandibolari, cefalee muscolari o disturbi posturali cronici, non immaginano che l’origine...
Cosa dicono i nostri pazienti
Dentista tra San Giovanni e Re di Roma



